밀크시슬은 엉겅퀴과(국화과) 식물로 유럽과 아시아에서 자라는 식물이다. 이 식물 뿌리의 추출물의 핵심 성분인 실리마린은 건강 상의 이득을 제공하는 천연 화합물로 유명한데 실리마린의 효능은 약 2000년 전부터 인정되어 약으로도 이용되어 왔다.
간 영양제 하면 밀크시슬이라고 할 정도로 우리나라에서도 밀크시슬 효과를 기대하고 영양제 복용하는 사람들이 많은데
이번에는 밀크시슬 효과와 올바른 복용법, 밀크시슬 부작용에 대해 알아보려 한다.
[목차]
1. 밀크시슬 효과
2. 밀크시슬 복용법
3. 밀크시슬 부작용
밀크시슬 효과






1. 밀크시슬 효과 간기능 개선
밀크시슬에는 플라보노리그난이 함유되어 있으며 주요 구성 성분은 총칭하여 실리마린이라고 하는데 이 실리마린에는 간세포보호, 간해독력 증가, 간질환 예방 등 간에 좋은 다양한 밀크시슬 효과가 있다.
실리마린은 알코올성 간 질환, 비알코올성 지방간 질환부터 간염 및 간암에 의한 간 손상을 입은 환자들의 보충 치료제로 쓰일 정도로 간 치료와 보호에 좋다. 여러 연구를 통해서 밝혀진 밀크씨슬 효과로는 이를 복용한 간 질환 환자의 간 기능이 개선되고 세포의 손상과 염증의 감소, 항산화 기능 활성화로 인해 간에서 독성 물질을 대사 하는 과정에서 만들어지는 자유 라디칼에 의한 간 손상을 밀크시슬이 막아 주는 것으로 나타났다.
2. 밀크시슬 효과 합병증 예방
밀크시슬 효과로 항염증과 항산화 작용이 있는데 이런 효능은 당뇨병과 신장 질환의 합병증에 대해서도 미리 예방하는데 도움이 된다.
3. 밀크시슬 효과 면역력 향상
항체작용 단백질인 면역글로불린 성분이 밀크시슬에 풍부하게 들어있어서 체내 면역력을 향상시키고 나아가 항암효과에 도움이 된다고 한다. 환절기에 면역력이 떨어지면 감기나 각종 염증성 질환에 노출되기 쉬운데 밀크시슬 복용 중이라면 밀크시슬 효과를 볼 수 있을 것 같다.
4. 밀크시슬 효과 당뇨예방
연구에 의하면 실리마린을 꾸준히 복용한 사람들 체내 혈중 혈당 농도를 조사한 결과 당화혈색소가 유의적으로 줄어든 게 나타났다 특히 2형 당뇨병에서 혈당을 감소시키는데 도움이 된다는 것이 밝혀졌다.
밀크씨슬은 혈당 조절 효능이 있어서 당뇨환자들이 섭취하는 경우 당뇨병 개선에도 효과를 볼 수 있다.
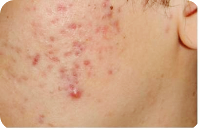
5. 밀크시슬 효과 여드름 치료 효과
실리마린의 항염증, 항산화 기능은 여드름 치료 효과가 있는 것으로 확인되었는데 여드름 환자가 8주간 매일 210mg의 실리마린을 복용한 결과 그렇지 않은 대조군 대비 여드름 부위가 63% 정도 감소한 것이 확인되었다. 이는 산화 스트레스로 여드름이 생겼을 때 항산화 기능 효과가 좋은 실리마린을 섭취해 주어 산화스트레스를 제거하는 역할을 해서 여드름 치료에 효과를 보인다.



6. 밀크시슬 효과 숙취해소
밀크씨슬은 간 대사를 촉진시켜 간을 건강하게 해주기 때문에 간의 해독 기능을 높여주는데 그만큼 숙취해소에 효과가 탁월하다. 또 실리마린 성분이 숙취 원인인 아세트알데히드 성분을 분해해 주는 역할을 해서 밀크시슬 효과로 숙취해소가 가능하다.
잦은 과음은 간건강을 악화 시킬 수 있는데 밀크시슬을 복용하면 간건강도 지키고 숙취해소도 가능하게 해 주니 참고할 만하다.
7. 밀크시슬 효과 골다공증 예방 효과
노화가 진행되면 우리몸에 뼈의 골밀도는 낮아지게 되는데 골밀도 저하로 인해 골강도가 감소하여 노인분들에게 쉽게 생기는 노인성 질병이 골다공증이다. 장기간 뼈의 손실이 차츰 이뤄지면서 경미한 충격에도 쉽게 뼈에 금이가고 부러기게 되며 만성 통증을 유발하고 때에 따라 극심한 통증도 발생하여서 일상생활에 불편함이 생기게 된다.
살리 마린을 동물실험으로 실시한 결과 이 성분이 뼈의 광물화를 자극해서 뼈 손실을 예방하는 것이 밝혀졌다. 특히 폐경기 여성에게 흔히 발생하는 골다공증과 같은 뼈 손실 문제를 방지하는데 효과가 좋다고 알려져 있지만 사람을 대상으로 한 실리마린의 뼈 건강에 대한 밀크씨슬 효능 연구는 활발하지 못해서 확실한 결과를 도출하기 위해서는 좀 더 많은 사람을 대상으로 한 연구가 필요하다.



8. 밀크시슬 효과 피로 회복
간기능이 저하되면 자연스럽게 만성피로와 무기력 증에 시달리게 되는데 밀크시슬은 간세포의 신진대사를 활성화시켜주어꾸준히 복용하면 간기능 개선으로 인한 피로해소에도 도움을 준다. 피로에 지친 현대인들이 피로해소와간 건강을 위해서 밀크시슬을 복용하고 있다.
밀크시슬 복용법
국산 밀크시슬 제품은 1일 치 기준 실리마린 함량이 130mg으로 WHO 기준보다 낮게 되어있는데 이는 밀크시슬 부작용 때문이다. 밀크시슬도 과하게 섭취하면 설사나 복통, 위장장애와 같은 부작용이 생기는데 무엇이든 부작용 없이 섭취하는 것이 중요하기 때문에 밀크시슬 부작용을 예방하고 안전하게 복용할 수 있도록 하려고 권장량을 약간 낮게 잡고 있다.
밀크시슬 효과가 탁월한 만큼 밀크시슬 부작용을 고려해서 권장량을 잘 알고 올바르게 섭취하는 것이 중요하다.
- WHO에서 제시하는 하루 권장량도 200mg
- 한국 식품의약품 안전처는 밀크씨슬의 하루 권장량을 130mg
- 소아 밀크시슬 섭취는 간 문제는 치명적일 수 있기 때문에 의료 전문가와의 상담을 거쳐야 한다.
- 간 문제 있는 성인 경우 밀크시슬 섭취는 먼저 의사와 상담 후 결정해야 된다.
밀크시슬 부작용



- 실리마린을 장기간 복용하거나 과다섭취 시에는 구토, 설사 등 부작용이 생길 수 있다.
- 국화과 식물에 알레르기를 유발할 가능성이 있기 때문에 알레르기가 있을 경우에는 복용하지 않는다.
- 임산부나 모유 수유부의 사용을 금지하고 호르몬 관련 암(유방암, 자궁암, 전립선 암)의 병력이 있는 사람은 복용을 금한다.
- 사람에 따라서는 피부 문제, 근육통, 위장 문제, 황달, 간 기능 감소 등 증상이 나타날 수도 있다.
아무리 몸에 좋은 음식이나 영양제도 본인에게 맞지 않으면 독이 될 수 있으니 밀크시슬 효과가 필요한 분들은 부작용이나 복용량을 잘 확인하시고 기저질환이 있으신 분은 의료진과 상의 후 섭취하는 것이 좋을 것 같다.
'건강한 인생^^' 카테고리의 다른 글
| 오메가 3 효능 및 복용법과 주의사항 알아보자 (9) | 2023.03.29 |
|---|---|
| 유산균 먹는시간 종류별 효능 알아보고 본인에게 맞는 유산균 섭취해요 (8) | 2023.03.28 |
| 고구마 효능 10가지 고구마 칼로리 및 보관하는법 (12) | 2023.03.26 |
| 멍게 효능과 멍게 비빔밥 만드는법 (7) | 2023.03.25 |
| 시래기 효능 7가지와 부작용 알아보고 건강하게 먹어요 (13) | 2023.03.24 |
댓글